가끔 매일같이같이 손수건을 들고다니며 코를 훌쩍거리거나 코를 푸시는분들이 계시는것을 자주 봐왔어요. 바로 축농증 증상때문에 고생하시는 분들 이야기 입니다. 증상이 심하다 보면 동반하게 되는 추가 통증이나 질병이 생길수있는데 오늘은 바로 축농증 증상에 관해 알려드리겠습니다. 전문적인 질병명은 부비동염 증상이라고 하네요.



축농증(부비동염)
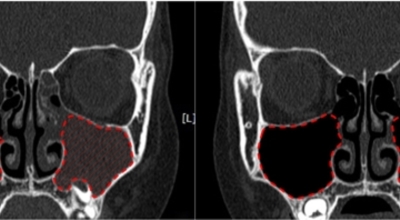
얼굴의 뼛속에는 몇 개의 빈 공간이 있어요. 이런 빈 공간을 '코 옆에 있는 동굴들'이라고 하는 의미에서 부비동이라 합니다. 이 공간은 머리 뼛속에 있는 뇌를 외부의 충격으로부터 보호해 주는 역할을 합니다. 부비동염은 이런 부비동이라는 빈 공간에 세균, 바이러스가 침투해서 염증이 발생한 질환을 의미합니다. 부비동염은 흔히 '축농증'이라고 불려요.
부비동염은 증상과 기간에 따라 '급성 부비동염'과 '만성 부비동염'으로 구분돼요. 부비동 코 주위의 얼굴 뼛속에 있는 빈 공간은 숨 쉬는 공기의 온도와 습도를 조절하며, 외부의 충격으로부터 뇌를 보호합니다. 부비동은 작은 구멍을 통해 콧속과 연결되어요. 이를 통해 콧속이 환기되고 부비동 내의 분비물이 자연스럽게 콧속으로 배출됩니다. 부비동염은 이 부비동에 염증이 발생해서 콧물이 배출되지 못하고 고여 있는 상태를 말합니다.
축농증 증상
1. 축농증 증상 - 급성 부비동염
코막힘, 누런 콧물, 후비루, 기침, 부비동 주변에 통증과 압통, 고열38도 이상, 권태감 등이 발생하는 급성 부비동염은 대부분이분은 바이러스가 원인이지만 5~10% 정도는 세균 감염으로 발생하는데 이 때에는 치통이나 얼굴에 심하게 열감 또는 통증이 느껴지며 심한 경우 부비동에서 끈끈한 화농성의 분비물이 나오고, 윗니 부위의 치통이나 얼굴의 심한 통증과 국소 열감이 생깁니다.
그 부위를 눌렀을 때 심한 통증을 호소하는 경우 급성 세균성 부비동염으로 바이러스성 부비동염은 합병증이 없을 경우 완전 자연 치유되지만 세균성 부비동염은 적절한 치료를 받지 못할 때에는 위험한 합병증이나, 만성 부비동염으로 진행할 수 있으므로 콧물, 코막힘이 2주 이상 나타난다면 바로 병원에 내원해서 치료를 받으셔야 합니다.



2. 축농증 증상 - 만성 코 부비동염
만성 코 부비동염의 경우 코막힘, 점액성 콧물, 기침을 동반한 안면통증, 치통, 이통이나 귀가 먹먹한 느낌이 동반됩니다. 간간히 두통, 후각이나 미각의 저하가 발생되기도 합니다. 발열 증상은 급성에 비교해 적은 편이예요.
3. 축농증 증상 - 알레르기 축농증
알레르기 축농증은 공기 중 특정 자극에 면역 체계가 과민반응해서 나타나는 흔한 유형의 축농증입니다. 일반적인 알레르기 축농증 유발 요인에는 먼지, 풀, 동물의 비듬, 곰팡이, 나무와 관목이 있어요. 기본적으로 누군가에게 알레르기 반응을 유발하는 모든 것이 다른 사람에게 축농증을 일으킬 수 있답니다.
알레르기 축농증은 전 세계 수백만 명의 사람들에게 영향을 미치며 어떤 경우, 치명적일 수 있습니다. 면역 요법은 큰 성공 가능성을 보여준 알레르기성 축농증의 새로운 치료법입니다. 축농증으로 분류하면, 만성 축농증은 부비동이나 편도선의 만성 염증에 의한 것으로 봅니다.
알레르기성 축농증이 오랜 시간 보존되면 만성 축농증이라고도 합니다. 그리고, 만성 축농증은 주로 면역 약화 및 자율 신경계의 문제, 전신 영양 결핍, 약물 또는 호르몬의 영향으로 인하여 발생합니다. 꽃가루, 개털, 집먼지 진드기와 같은 특정 항원에 대한 과한 면역 반응에 의하여 나타나는 알레르기 축농증도 있어요.



4. 축농증 증상 - 알레르기 축농증 항원 종류
알레르기 축농증 증상을 유발하는 것을 항원이라 하는데 집먼지 진드기는 우리 가정에서 보통 있는 통년성항원이 있고 꽃가루와 연관된 알레르기 축농증을 발생시킬 가능한 계절별 항원으로 분류할 수 있어요. 축농증의 원인 중 1개로 꽃가루가 있습니다. 미세먼지가 많이 날리는 때에는 가급적 실내에 머무는 것이 좋으나, 외출을 해야 할 경우 방진이 잘 되는 마스크를 착용하는 것이 도움을 주어요.
알레르기 축농증 환자의 약 80%에서 집먼지진드기 알레르기 양성반응이 관찰되었습니다. 집먼지 진드기는 25℃의 온도와 80%정도의 상대습도를 만족했을 때 가장 잘 번식합니다. 상대습도가 60% 이하로 줄어들게 집먼지 진드기의 번식 속도가 급격하게 떨어지고 40-50% 정도가 되면 사멸합니다.
먼지 1g당 집먼지 진드기가 100마리 이상일 경우 알레르기 질환을 일으키는 횟수가 빠른 속도로 증가합니다. 집먼지 진드기는 8월에 가장 왕성하게 번식하고 5월에 개체수가 가장 낮습니다. 집먼지 진드기는 이불과 카펫 등에 많이 서식하기 때문에 자주 세탁하고 완전히 건조하는 것이 중요합니다. 이 밖에도 바퀴벌레 분비물 등 해충에 의한 알레르기 축농증도 있을 수 있습니다.
5. 축농증 증상 - 코막힘
축농증의 대표적 증상은 코막힘으로 볼 수 있어요. 이 코막힘은 단순 감기로 인한 이물질로 인한 코막힘과는 다릅니다. 콧물이 가득찬 느낌이 아니라 비강 내 점막이 부어 호흡이 잘 안되어 답답함을 느끼는 증상입니다. 코가 부어오르고 예민해져 자꾸 코를 풀 경우 코 점막에 상처를 낼 수 있다고 하며 코를 푼다고 좋아지는 것이 아니고 오히려 그 답답함과 불편함으로 만성 두통으로 이어질 수 도 있어요.
보통과 다르게 이 코막힘은 밤에 심해지는데 잠을 취하기 위해 누웠을 때 그 답답함이 훨씬 심해지는데 이는 답답함 뿐만 아니라 수면의 질을 떨어뜨려 만성 피로와 면역력 저하를 동반하게 되며 피곤함으로 일상생활의 무기력증으로 이어져요.
우리가 생명을 보존하는데 가장 기본적이 이 숨쉬기의 어려움은 겪어보지 않으신 분들에게 이 답답함은 상상 불가일 것으로 보입니다. 그리고 이 기본적인 숨쉬기의 어려움으로 사람마다 다르긴 하지만 아래쪽과 같은 다양한 추가적 증상들이 나타날 수 있답니다.



6. 축농증 증상 - 무기력증
기본적인 숨쉬기의 어려움은 인체에 각종 문제를 발생시켜요. 코를 통해 흡입한 신선한 공기는 혈류를 타고 온몸으로 퍼져나가 우리 기관들이 활동하는 데 쓰여요 하지만 이 산소공급이 순조롭게 이루어지지 않아 피곤함을 쉽게 느끼며 늘 몽롱한 졸린 느낌을 받고 별거 아닌 인체, 정신활동에서 피로감을 느낍니다.
그리고 코는 예민한 기관으로 이 코의 불편함은 지속적으로 코에 모든 신경이 집중되게 되면서 만성두통으로 이어지기도 합니다. 이는 몸의 스트레스 지수를 높여 몸 곳곳에 좋지 않은 영향을 줘요.
외과적 치료
내과적 치료에 반응하지 않는 만성 부비동염의 경우 수술 치료가 필요합니다.
첫째, 자연공을 통한 부비동의 배액과 환기 유지입니다. 둘째, 발병의 선행 요인인 비강 내 구조적 이상을 제거하던가 교정하는 것으로 보입니다. 셋째, 부비동 점막의 병변이 비가역적이라면, 부비동 점막을 없애는 것으로 보입니다. 보통은 부비동 내시경 수술을 시행합니다.
일부 환자에게는 풍선카테터라는 부비동 수술을 시행합니다. 수술 전에 부비동의 염증을 치료함으로써 분비물의 배액을 막는 자연공의 점막 부기를 줄이고, 부비동에 저류된 분비물의 배액을 재촉해니다. 섬모의 기능을 촉진하고 치료 중이나 치료 후에 자연공의 소통을 유지시킬 수 있는 내과적인 치료를 하시는 게 좋겠습니다.



내과적 치료
약물 치료에는 주로 경구용 항생제를 이용해니다. 부가적으로 비강 점막의 붓기를 감소시키는 혈관수축제를 이용하여니다. 혈관수축제는 만성 부비동염으로 인하여 좁아진 부비동 자연공을 넓혀서 부비동의 환기와 배액을 용이하게 해 주어요. 스테로이드제제는 부비동 자연공의 염증 반응을 억제해서 부기를 감소시킴으로써 그 입구를 넓게 해주어요. 보조 치료 방법으로 생리 식염수를 이용한 비강 세척법이 있습니다. 이는 분비물에 의한 가피 형성을 억제해주어요.
축농증 예방법
코 세척은 코막힘 증상 완화에 도움이 될 수 있어요. 원인 항원이나 세균성 염증을 제거해주고 코 점막의 습기를 지속시켜니다. 생리식염수를 용기에 담아 고개를 약간 앞으로 숙인 상태에서 콧구멍을 통해 식염수를 천천히 넣어줍니다.
그러면 자연스럽게 콧구멍으로 식염수가 빠져나오면서 세척이 됩니다. 또, 코 점막의 습기를 유지하기 위해 실내에선 가습기를, 외출 시엔 마스크를 사용하고 이비인후과에서 코 점막 전용 연고를 처방받아 바르는 것도 힘 입을 수 있습니다.



축농증 증상에 좋은 음식
당근도 좋아요. 당근은 콧속에서 나타나는 염증을 진정시키고 점막을 보다 건강하게 돕기 때문에 축농증 때문에 고생하시는 분들에게 도움 됩니다. 마늘도 도움이 되는 음식입니다. 알리신, 스콜다닌 같은 성분들이 혈류 보완에 도움을 주어요.
보통과 다르게 알리신 성분의 경우 항균력이 뛰어나 감기를 예방에 보탬이 돼요. 마늘을 생으로 먹기는 힘들기 때문에 차로 드시거나 즙을 활용하는것도 좋은 방법이 돼요. 수세미도 도움을 줍니다. 실제로 수세미는 해외에서 축농증 치료에 도움을 준다고 알려져 있어요. 트리테르페노이드 성분의 경우 호흡기 질환 보완에 도움이 돼요.
수세미는 성질이 차갑기 때문에 폐와 기관지의 열을 내려주고 가래를 삭히는 효과가 있답니다. 천식이나 축농증, 축농증 같은 질환에 수세미를 사용하면 좋지만 일반적인 때 몸이 차거나 소화가 잘 안되시는 분들이라고 할 경우 주의가 필요합니다. 대추는 코의 점막을 강하게 만들며 우리의 신체의 면역 상승에 도움이 되고다. 흐르는 콧물을 맑게 해주고 숙면을 취하는데도 보탬이 돼요.
대추를 달여서 즙으로 마시는 경우 몸의 저항력을 올려주는 것은 물론이고 갖가지 호흡기 질환을 치료하고 예방에 좋습니다. 무도 좋아요. 가래와 만성 기침에 효과가 있습니다. 축농증, 축농증으로 인해 나타나는 코막힘을 해결하는데도 좋아요. 물을 마시는것 대신 꿀에 절여 만든 무즙을 드시는 것이 코막힘 증상을 예방 할 수 있습니다.
축농증 증상과 부비동염 증상에 대해 알려드렸습니다. 위 내용 참고하셔서 좋은 생활 하시기를 바라겠습니다. 방문해 주셔서 고마워요.
콜라비 효능, 부작용, 맛있게 먹는법
아래에서는 콜라비 효능에 대해 자세히 살펴보려고 합니다. 건강한 식사에 도움되는 정보가 많으니 자세히 살펴보시기 바라겠습니다. 콜라비란 양배추와 순무의 장점만 살린 교배종으로 우리
cherrysalmons.issuehothot.com
췌장염 증상 만성, 급성 차이
하단에서는 췌장염 증상에 관하여 유심히 살펴보려고 해요. 보탬이 되는 정보가 많으니 세세히 살펴보시기 바라겠습니다. 췌장염이란? 췌장염은 췌장효소에 의해서 췌장 분비샘이 파괴되거나
cherrysalmons.issuehothot.com
땅콩 효능 왜 체중 조절에 좋을까?
오늘 얘기 해 볼 것은 땅콩 효능에 대한 것인데요, 요즘 땅콩 효능에 대한 인기가 높다고 합니다. 하단에서 자세한 내용 살펴보도록 하겠습니다. 땅콩이란? 땅콩은 콩과의 일년초이며 남미가 원
cherrysalmons.issuehothot.com