이번 포스팅은 뇌졸중 전조증상에 관해서 알아보시죠. 꼭 알아두셔야 할 중요시되는 내용이니 차근차근 읽어보세요.
뇌졸중이란
뇌에 산소와 영양소 공급이 부족해져서 뇌조직에 대사 이상 반응을 유발하는 증상을 유발하면서 뇌 조직의 기능장애가 나타나며, 대표적 증상은 의식 저하, 감각장애, 언어장애, 보행장애, 운동장애, 갑작스러운 기억상실 등이 있습니다. 뇌졸중 전조 증상이 나타나면 빠른 대응이 중요하며 즉시 119에 신고하거나 병원으로 가야해요.
전 세계적으로 2초에 한명씩 발생하고, 6초에 한 명씩 사망하는 질병으로 국내에서도 3대 사망 이유가 되는 것 중 하는 뇌졸중. 뇌졸중은 뇌 일부분에 혈액을 주는 혈관이 막히거나 터지면서 발생하는 병으로 고혈압이 뇌졸중의 대표적인 까닭 질환입니다. 뇌졸중은 뇌혈관이 막히거나 터져서 뇌세포가 훼손되서 생기는 신경학적 증상입니다.






뇌졸중 종류
뇌졸중은 뇌경색과 뇌출혈 두가지로 나뉘게 돼요. 먼저 뇌경색은 뇌혈관이 막혀 영양분과 산소를 주는 피가 통하지 않는 상태로 원은은 크게 세 가지로 나눌 수 있는데요 동맥경화증이 생겨 좁아진 부위로 인하여 혈액공급이 부족해지거나 좁아지다가 결국 막혀버리는 경우, 큰 혈관에서 분지한 작은 혈관들이 고혈압 등으로 압박을 받으면 혈관이 막히는 경우가 있습니다.
또한 심장 판막질환이나 심방세동 또는 심근병 등등의 심장 질환이 있는 경우 심장에서 혈전이 만들어지고 그게 뇌로 흘러가게 되면 뇌혈관을 막게 되는 경우가 있답니다. 뇌출혈은 뇌경색과 반대로 뇌혈관이 터져서 생기는 뇌내 출혈과 거미막하 출혈로 나누게 돼요. 거미막하출혈은 혈관벽의 약한 부분이 부풀어 오르는 뇌동맥류가 터지는 경우와 관련성이 크다고 해요.
뇌졸중 원인
육체의 혈액순환을 방해하는 모든 까닭이 뇌졸중의 까닭이 될 수 있답니다. 흡연과 음주 또한 뇌졸중의 까닭이 될 수 있다고 하며 고혈압, 당뇨, 비만, 고지혈증 또한 뇌의 혈액순환을 방해하고 뇌혈관 건강을 악화시키만드는 이유가 되는 것 중 1개로 보고 있답니다.
옳지 않은 식습관 또한 뇌 혈관 건강을 망치는 위험인자로 보고 있는데 맵게 먹거나 짜게 먹거나 채소류를 잘 섭취하지 않고 지방이 많은 고기를 주로 먹고 과식과 폭식을 한다면 뇌혈관 건강을 망치는 주범이 될 수 있습니다. 또한 운동 부족과 스트레스도 뇌졸중의 이유가 되는 것이 될 수 있답니다.






뇌졸중 자가진단 리스트
아래쪽에 해당하는 사항이 많다면 빠른 병원 방문이 필요해요.
1. 순간적으로 의식을 잃는 경우가 있고, 기억장애가 빠르게 발생합니다.
2. 말을 하면 혀가 꼬부라집니다.
3. 급작스럽게 걸을 수 없듯이 심한 현기증이 나타나요.
4. 머리가 무거우며 두통이 이어집니다.
5. 남이 말을 하면 잘 알아듣지 못합니다.
6. 한쪽 눈이 잘 안보이거나 시야의 한 귀퉁이가 어둡게 보여요.
7. 물건을 빈번히 잃어버려요.
8. 와이셔츠의 단추를 끼우는 것이 어려워요.
9. 담배, 연필, 젓가락 등을 나도 모르게 떨어지는 일이 많다고 해요.
10. 어깨, 목이 심하게 결리고 뻐근합니다.






뇌졸중 전조증상 - 잦은 두통
일반적인 때에 이렇다할 두통 한번 겪은 적이 없었는데 언젠가부터 두통이 잦아지고 그 강도가 점점 세진다면 전조증상 중 1개일 수 있습니다. 특히 고혈압이 있는 사람에게서 이와 같은 증상이 나타났다면 지체할 것 없이 가까운 병원에 방문하시어 증상을 전달하시고 그에 맞는 치료를 반드시받아보셔야 해요. 가벼운 두통이겠지, 편두통이겠지 짐작하여 넘어가서는 안됩니다. 앞서 말씀드렸다시피 고혈압을 앓고 있거나 나이가 있는 분들이라면 전조증상일 수 있으니 더욱이 이런 두통은 가볍게 넘어가서는 안됩니다.
뇌졸중 전조증상 - 언어장애
언어장애도 대표적인 전조증상 중 1개라 할 수 있습니다. 일시적으로 말이 어눌해지고 발음이 부정확해지는 경우도 있다고 하며 말이 어눌해진 순간부터 지속적으로 그 증상이 이어지는 경우도 있습니다. 말이 어눌해진 증상은 정작 본인은 모르는 경우가 많다고 해요. 그러니 가족 또는 친구들이 이상함을 감지하고 그에 맞는 검사와 치료를 받을 수 있게 도움을 주셔야 해요.
뇌졸중으로 말이 어눌해 지는것과 또한 상대방이 하는 말을 알맞게 이해하지 못하는 경우가 잦아질 수 있답니다. 말을 해도 상대방이 못알아 듣거나 말을 들어도 무슨 말인지 이해하지 못하게 되는 것인데요 이 또한 본인은 '이해하지 못했다'라는 것조차 알지 못하는 경우가 있을 수 있답니다.






뇌졸중 전조증상 - 반신 마비
한쪽 뇌에 이상이 발생하면 반대방향의 건강에도 마비가 나타납니다. 좌뇌 이상 발생시에 몸 오른쪽 마비 증상이 나타납니다.
뇌졸중 전조증상 - 편마비
왼쪽 또는 오른쪽만 저리거나 힘이 빠지는 증상 또한 전조증상 중 1개입니다. 해당 증상은 다른 증상들과는 다르게 빠르면 수초 늦어도 수 분 내에 좋아지는 경우가 많아 단순히 혈액순환이 안돼서 일시적인거라는 생각으로 넘어가는 경우가 상당히 많습니다.
해당 증상은 한쪽 팔 한쪽 다리에만 저리거나 힘이 축 빠지는 증상이 나타나는것이 아닌 왼쪽 또는 오른쪽의 팔, 다리에 동시적으로 저림 증상과 힘 빠짐 또는 순간 마비되는 듯한 증상이 뇌졸중 전조증상으로 나타난다는 개성이 있어요. 평상시 괜찮다가도 일시적으로 한쪽에만 저린 증상 또는 힘빠지는 증상이 느껴졌거나 잦아졌다면 한시라도 빨리 병원에 방문하시어 검사를 받아보시는게 좋겠네요.






뇌졸중 전조증상 - 보행장애
위의 증상과는 조금 다른증상입니다. 단순히 저리거나 힘이 빠지는 증상은 나타났다 하더라도 보행에 문제가 없는 경우가 많지만 또한 다른 증상으로 이와 같은 보행장애가 나타날 수 있답니다.
걸을 때 마다 한쪽으로 치우치게 되고 치우치다 못해 왼쪽 또는 오른쪽으로 자꾸 넘어지는 증상이 뇌졸중 전조증상으로 나타날 수 있습니다. 해당 증상 때문에 넘어져 병원에 방문하여 뇌에 이상이 있음을 알게 되는 경우가 종종 있다고 합니다. 잘못 넘어지게 될 경우 뇌출혈이나 다른 부위의 골절이 생길 수 있기에 걷덛 중 갑작스럽게 어지럽거나 걷는데 한쪽으로 계속 치우치며 넘어질 것 같은 느낌이 드신다면 주변 사람이나 119에 도움을 받아 병원에 가보시는 게 좋을 것 같아요.
뇌졸중 전조증상 - 시각장애
뇌졸중 전조증상이 모두 일상생활에 불편함을 초래하지만 마지막 전조증상인 시각장애는 큰 불편함을 가져올 수 있어요. 시각장애가 계속되면 두통을 수반하기도하니 바로 병원을 통해서 검사를 받아보시는 것이 좋을겁니다.
시각장애의 경우 갑작스럽게 두 눈이 안보인다거나 하는 증상은 아니고 편마비와 마찬가지로 한쪽 눈의 시력이 갑작스럽게 낮추는 증상을 말합니다. 이런 증상은 실제로 시력이 저하된 것이 아니고 뇌 신경 일부가 눌리거나 막혀서 시신경에 여파를 미치는 경우라고 볼 수 있답니다.
뇌졸중 후유증
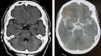
뇌졸중이 치명적인 이유는 한 번 훼손된 뇌 조직은 다시 좋아지지 않기 때문입니다. 뇌졸중은 발생 후 시간이 지날수록 점점 진행되므로 빠른 치료가 생명인데요 시간이 지나면서 훼손된 부분의 기능을 다른 정상적인 조직이 도움 줌으로 인해 증상이 개선될 수는 있으나 치료 시기가 늦을수록 치료 효과는 감소시키며 역효과가 더 커지며 후유증이 크게 남을 수 있어요.
초기 뇌경색이 진행하거나 재발할 수 있으므로 뇌졸중 진행을 막기 위하여 빨리 내원해서 치료해야 한다는 점이 중요해요. 급성 뇌졸중 치료가 종료된 이후 뇌졸중 환자들은 여러 부분 일정 양의 장애를 갖게 되는데 적극적이고 빠른 재활치료를 통해 육체 기능이 호전되는 것이 가능해요.






뇌졸중 예방법
뇌졸중 예방법 - 과로와 추위 피하기
신체적으로 무리를 해서는 위험 인자가 있는 사람과 없는 사람 모두 심장 박동의 이상을 초래할 수 있으며 피를 굳게 해서 뇌졸중의 이유가 되는 것이 될 수 있다고 하니 과로와 추위는 피하는 게 좋아요.
뇌졸중 예방법 - 재발 방지
무엇보다 한번 뇌졸중을 겪은 경우라면 다시 재발하지 않게 예방에 최선을 다해야 해요. 1년 이내로 재발하는 경우가 10명 중에서 1명이며 5년 이내로 재발은 10명 중 4명 꼴이라는데요 전문의의 처방에 따라 항응고제를 꾸준히 섭취하는 것이 좋을겁니다.
뇌졸중 예방법 - 고혈압 관리
고혈압을 가진 분들은 정상인보다 4-6배나 뇌졸중이 많은 양 발생하며 적정 혈압으로 수축기 140 이하 이완기 90 미만을 유지하도록 노력하는 편이 좋아요. 고혈압 환자는 화장실 발작을 특히 주의해야 하고, 변비 완화도 조심하는 것이 좋습니다.
뇌졸중 예방법 - 지속적인 운동
규칙적이고 적당한 운동과 식습관 개선은 혈액 속 콜레스테롤을 낮추어주어요. 1주일에 3일 이상, 유산소 운동을 하루에 30분 이상 하는 것이 보탬이 돼요.
뇌졸중 예방법 - 심장질환 관리
심장병이 있으면 항응고제로 조절해야 하며 심장 판막질환이나 류머티즘, 심장질환은 뇌졸중 발생이 건전한 사람보다 2배 이상 높아요. 노인에게 여러 심장세동의 경우 뇌졸중이 발생할 위험률은 5-18배 정도 되니 항응고제 치료를 받는 편이 좋아요.
뇌졸중 예방법 - 금연 금주
담배를 끊고 과음을 하지 않는다면 최대 3배 정도 뇌졸중 위험을 감소시킬 수 있답니다. 특히 위험 인자가 있는 경우 흡연을 한다면 뇌졸중이 발생할 확률은 최고 17배까지 높아지니 조심하셔야 해요.
뇌졸중 치료 방법
뇌세포는 몇 분만 혈액공급이 안 되어도 훼손을 입게되고 한 번 죽은 뇌 세포는 다시 살릴 수 없게 되어 빠른 치료가 주요한 질병입니다. 뇌세포가 훼손되는 시간은 발병 후에 3시간에서 최대 6시간이면 손을 쓸 수 없이 훼손을 받기 때문에 뇌졸중을 담당하는 의사들은 뇌졸중의 골든타임을 발병 3시간에서 6시간 이내로 보고 있다고 합니다. 그러므로 발견 즉시 병원으로 가서 치료를 받으시는 것이 중요하다는 점 기억하세요.
뇌졸중 전조증상에 대해서 알아봤는데 어떠셨나요? 오늘 알려드린 내용 바탕으로 건강에 유의하시기 바랍니다.
부산 가볼만한곳 베스트 10 추천하는 이유
이번 글은 부산 가볼만한곳에 대한 포스팅을 준비하였습니다. 우리 생활 속에서 놓치고 있는 부분이 많으니 잘 알아두시기 바랄게요. 부산광역시대한민국 제2의 도시이자, 제1의 무역항입니다.
cherrysalmons.issuehothot.com
고구마줄기 김치 담그는법 레시피
이색적인 식감으로 맛이있는 고구마줄기 김치 담그는법에 대하여 알려드리겠습니다. 고구마 줄기는 우리의 인체에도 좋아 많이 드시실수록 건강해지는 느낌을 받아보실수 있을것입니다. 고
cherrysalmons.issuehothot.com
옥수수 삶는 방법 ㅇㅇㅇ 넣어보세요
이번 포스팅은 옥수수 삶는 방법에 대해서 알아보겠습니다. 꼭 알아두셔야 할 중요한 내용이니 차근차근 읽어보세요. 옥수수란?외떡잎식물강 벼목 벼과 옥수수속에 분류되는 한해살이풀. 학명
cherrysalmons.issuehothot.com