오늘 살펴 볼 것은 헬리코박터균에 좋은 음식에 대한 내용인데요 잘 알아두시면 도움 될 내용들이 많으니 디테일하게 살펴보시고 반드시 도움 받으셨으면 좋을 것 같아요.
헬리코박터균
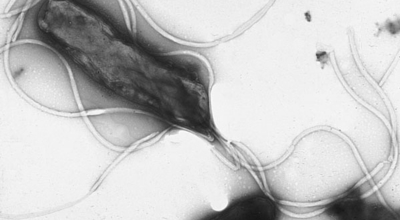
헬리코박터균 감염증은 위점막과 점액 사이에 기생하는 나선 형태의 헬리코박터 파일로리라는 세균에 의한 감염 질환을 말합니다. 이 균의 감염은 위암 발병의 중요시되는 원인 중 한 종류로 알려져 있어요. WHO(세계보건기구)는 1994년 헬리코박터 파일로리 감염을 발암 인자로 규정했어요.






헬리코박터균 감염 증상
상부 소화관에 헬리코박터균의 존재는 본질적으로는 질병과 연관이 없답니다. 2014년 발효된 대학 연구에 의하면 85%에 달한느 사람들이 어떤 종류의 증상도 경험하지 못할 것이라고 밝혔어요. 복통과 메스꺼움 특징인 염증성 질환인 급성 위염이 일반적인 발병 원인으로 시간이 지남에 따라 만성 위염으로 진행 될 수 있어요. 일반적인 주요 증상은 복통, 메스꺼움, 복부팽만, 식욕부진, 트림, 구역질 등이며 이런 증상은 공복일 때 식사 사이 및 이른 아침 기상에 가장 수시로 체험하게 돼요.
헬리코박터균 원인
헬리코박터균 원인은 당연히 해당 균에 감염되면서 시작되어요. 그러나 아직까지 정확한 감염 경로는 밝혀지기 않았기 때문에, 명확한 감염 원인은 알 수 없답니다. 단, 헬리코박터균 감염의 유력한 원인은 있고, 다음과 같아요.
예전에 빈번히 우물이나 약수터 물 등을 마시던 사람은, 헬리코박터균에 감염되었을 확률이 높다고 알려져 있습니다. 우물물 속에 어떤 형태로든 해당 균이 들어가버려서, 그것을 사람이 마시고 감염되는 루트가 됩니다. 다만, 아래단에서 상세히 설명드리겠으나 헬리코박터균의 감염률은 매년 줄어들고 있어요.






이것은 깨끗하게 정수된 수돗물이나 생수를 마시는 사람이 늘어나면서 또한 우물이나 약수터에서 물을 마시는 사람이 거의 없어졌기 때문이라고 생각됩니다. 또 해당 균에 감염되어 있는 부모가 음식을 입으로 옮겨 아이에게 주면, 아이도 감염시켜 버릴 수 있습니다. 위 속의 헬리코박터균이 입 안으로 이동해서 침 속으로 숨게 되고, 아이에게 옮겨 버리는 것으로 보입니다.
사람의 배설물인 대변 속에서 헬리코박터균이 검출된 적이 있습니다. 이 감염자의 대변을 어떤 형태로든 접촉하였고, 해당 행위를 통해 감염되었을 우려가 있어요. 위 3가지 중에서 현재까지 가장 유력한 것은, 부모에서 자녀로 옮겨지는 가족 내 감염입니다. 현대 헬리코박터균 감염의 80%는 가족 내 감염이라고 지적하는 전문가도 있습니다.
헬리코박터균에 좋은 음식
헬리코박터균에 좋은 음식 - 홍삼
홍삼은 '진세노사이드'라는 성분을 지녔습니다. 이 성분은 헬리코박터균 제균에 아주 효과적이라고 하는 연구결과가 있답니다. 홍삼을 먹을 경우 제균율이 85%로 높은 효과를 보였다고 해요.






헬리코박터균에 좋은 음식 - 양배추
양배추 역시 위장 건강에 도움을 주는 채소로 알려져 있답니다. 실제 일본에서 사랑받는 카베진은 양배추 성분이 거의 다 일정도로 위장 또는 소화에 도움을 줄 수 있 다고 알려져 있는데 이는 위점막의 재생과 강화를 증진하는 '비타민U'가 많은 양 포함돼 있기 때문이죠.
그렇기 때문에 양배추는 염증과 상처에 일정한 효과가 있고 주기적으로 섭취하게 되면 위염, 위궤양, 역류성 식도염 또는 기타 위 질환을 예방하고 완화할 수 있 다고 알려져 있어요.
헬리코박터균에 좋은 음식 - 김치
김치는 맵고 짠 특성을 가지므로 위를 자극할 것이라고 생각할 수 있지만 위장 기능과 연관된 한 연구에서는 헬리코박터 파일로리에 감염된 쥐에게 마늘, 파프리카, 겨자잎, 홍삼 등 여러가지 채소가 들어간 특제 김치를 먹인 결과 위염과 위선종이 줄어들었다는 연구 결과가 나와 헬리코박터균에 적절한 대응을 할 수 있 다고 알려졌어요. 다만, 김치의 음식 특성상 맵고 짠 부분도 있으므로 과하게 드시지는 않는 것이 추천됩니다.






헬리코박터균에 좋은 음식 - 매실
매실 역시 우리에게는 여러가지 소화기능을 가진 열매 정도로 이해합니다. 실제 매실에 '시가린가레시놀'은 위 내 헬리코박터균의 활동을 제한하는 효과가 있답니다. 예전부터 매실은 위에 좋다고 알려져 있는데, 각별히 매실의 높은 산도를 일으키는 신맛 성분이 소화액 분비를 증진시켜서 위장 운동이 활발해지도록 도와주어 위염을 포함하여 각종 소화 불량 등에 좋은 효과를 보여서 천연 소화제라고 불리기도 합니다.
헬리코박터균에 좋은 음식 - 올리브 오일
올리브유가 헬리코박터 파일로리 감염을 예방하는 데 도움이 된다는 연구논문이 미국의 『농업과 식품화학』지에 발표되었어요. 올리브유는 헬리코박터균과 결합하는 성질이 있다고 하며 여기에 포함된 천연 페놀 성분이 8가지 헬리코박터균주의 제균에 도움을 준다고 합니다.






헬리코박터균에 좋은 음식 - 브로콜리
브로콜리새싹에 포함된 설포라판 성분은 항산화작용과 항암효과로 잘 알려져 있는데 헬리코박터균을 제한하는 효과도 있다고 하네요. 설포라판은 일반 브로콜리보다 브로콜리 새싹에 더 많이 포함되어 있으므로 샐러드 등으로 수시로 챙겨 섭취하게 되면 괜찮을것 같습니다.
헬리코박터균에 좋은 음식 - 꿀
꿀은 우리 몸을 따듯하게 하고 면역력을 올려줘요. 꿀에는 벌집에 균이나 박테리아가 나타나는 것을 막기 위해 많은 향균성분이 함유되어 있어요. 각별히 꿀에 포함된 '아브시스산'은 헬리코박터균의 억제에 효과가 좋다고 합니다. '아브시스산'은 주로 아카시아 꿀에 많이 함유되어 있습니다.
헬리코박터균에 좋은 음식 - 미역
해조류의 섬유질은 암 유발 물질을 없애주는 효능이 있답니다. 미역 특유의 끈끈한 섬유질이 헬리코박터균이 위에 붙는 것을 막아줘요. 그리고 해조류에 포함된 '베타카로틴'은 체내 잔류 산소 활성산소를 제거해 세포 손상과 노화를 방지할 수 있어요.
헬리코박터균에 좋은 음식 - 마늘
미국 타임지에서 선정한 10대 장수음식으로 꼽힌 마늘은 미국 국립암연구센터에서 추천하고 있는 항암음식입니다. 식품으로 섭취하던가 즙으로 마시면 헬리코박터균 감염에 의한 위염을 예방하고 위암까지 막아줄 수 있습니다.
지금까지 헬리코박터균에 좋은 음식에 대한 포스팅이었어요. 다음에 더 좋은 글로 돌아오겠습니다.