안녕하세요. 건강한 삶을 위해 꾸준히 노력하는 여러분들을 응원하는 블로거입니다. 오늘은 경동맥 초음파 검사로 알수있는병에 대해 자세히 알아보려고 합니다. 뇌졸중은 갑작스럽게 찾아와 심각한 후유증을 남길 수 있는 무서운 질환입니다. 하지만 경동맥 초음파 검사를 통해 뇌졸중의 주요 원인인 경동맥 질환을 조기에 발견하고 예방할 수 있다는 사실, 알고 계셨나요? 이 글에서는 경동맥 초음파 검사가 무엇인지, 어떤 질환을 진단할 수 있는지, 그리고 어떻게 뇌졸중을 예방할 수 있는지 꼼꼼하게 알려드리겠습니다. 마치 건강검진처럼, 미리 알고 대비하는 것이 중요하니까요. 함께 자세히 알아볼까요?
경동맥 초음파 검사란 무엇일까요?
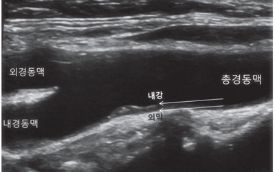
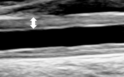
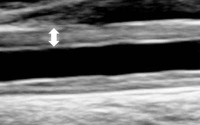
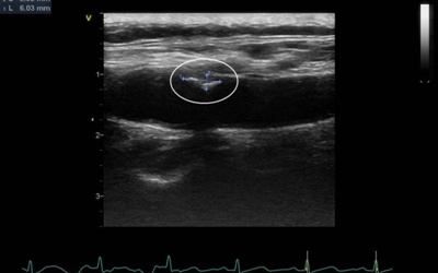
경동맥 초음파 검사는 목 부위에 위치한 경동맥의 상태를 실시간으로 확인할 수 있는 비침습적인 검사 방법입니다. 초음파를 이용하여 혈관 벽의 두께, 혈액의 흐름, 혈관 내 플라크(혈전)의 존재 여부 등을 파악할 수 있습니다. 마치 도로 위에 설치된 CCTV처럼, 혈관 속 상황을 안전하게 들여다보는 것이죠. 검사 과정은 간단하며, 통증이나 불편함이 거의 없어 누구나 부담 없이 받을 수 있습니다.
제가 병원에서 경동맥 초음파 검사를 받았을 때, 검사 시간이 15분 정도로 매우 짧았던 기억이 납니다. 편안하게 누워서 초음파 젤을 바르고, 의료진이 탐촉자로 목 부위를 부드럽게 스캔하는 동안, 저는 마치 휴식을 취하는 듯한 기분을 느꼈습니다. 검사 결과에 대한 설명을 들으면서, 미리 혈관 건강을 체크하고 관리할 수 있다는 점에 안도감을 느꼈습니다.






경동맥 초음파 검사로 알수있는병 종류
경동맥 초음파 검사는 다양한 경동맥 질환을 진단하는 데 유용한 도구입니다. 다음은 경동맥 초음파 검사를 통해 확인할 수 있는 주요 질환들입니다.
1. 경동맥 협착
경동맥 협착은 경동맥 내부에 플라크가 쌓여 혈관이 좁아지는 질환입니다. 혈관이 좁아지면 뇌로 가는 혈류량이 감소하여 뇌졸중의 위험이 증가합니다. 경동맥 초음파 검사를 통해 협착의 정도를 정확하게 파악하고, 필요한 경우 약물 치료나 수술적 치료를 통해 뇌졸중을 예방할 수 있습니다.
- 원인: 고혈압, 고지혈증, 흡연, 당뇨병 등
- 증상: 초기에는 증상이 없을 수 있으며, 심한 경우 일시적인 시력 상실, 언어 장애, 마비 등이 나타날 수 있습니다.
- 진단: 경동맥 초음파 검사, CT 혈관 조영술, MRI 혈관 조영술 등
- 치료: 약물 치료 (항혈소판제, 스타틴), 경동맥 내막 절제술, 경동맥 스텐트 삽입술






2. 경동맥 박리
경동맥 박리는 경동맥 혈관 벽이 찢어지는 질환입니다. 혈관 벽이 찢어지면 혈액이 혈관 벽 안으로 들어가 혈관을 막거나 혈전을 형성하여 뇌졸중을 유발할 수 있습니다. 경동맥 초음파 검사를 통해 박리된 혈관 벽을 확인하고, 신속하게 치료를 시작하여 뇌졸중을 예방해야 합니다.
- 원인: 외상, 섬유근 형성 이상, 혈관염 등
- 증상: 목 통증, 두통, Horner 증후군 (눈꺼풀 처짐, 동공 축소, 땀 분비 감소), 뇌졸중 증상 등
- 진단: 경동맥 초음파 검사, CT 혈관 조영술, MRI 혈관 조영술 등
- 치료: 항응고제 치료, 혈전 용해술, 수술적 치료
3. 경동맥 동맥류
경동맥 동맥류는 경동맥 혈관 벽이 약해져 혈관이 부풀어 오르는 질환입니다. 동맥류가 파열되면 출혈이 발생하여 생명을 위협할 수 있습니다. 경동맥 초음파 검사를 통해 동맥류의 크기와 위치를 파악하고, 파열 위험이 높은 경우 수술적 치료를 고려해야 합니다.
- 원인: 동맥경화, 감염, 유전적 요인 등
- 증상: 대부분 무증상이며, 드물게 목에 혹이 만져지거나 쉰 목소리, 삼킴 곤란 등이 나타날 수 있습니다.
- 진단: 경동맥 초음파 검사, CT 혈관 조영술, MRI 혈관 조영술 등
- 치료: 수술적 치료 (동맥류 절제술, 스텐트-그라프트 삽입술)
| 질환 | 원인 | 증상 | 진단 | 치료 |
|---|---|---|---|---|
| 경동맥 협착 | 고혈압, 고지혈증, 흡연, 당뇨병 등 | 초기 무증상, 심한 경우 일시적 시력 상실, 언어 장애, 마비 등 | 경동맥 초음파 검사, CT 혈관 조영술, MRI 혈관 조영술 등 | 약물 치료 (항혈소판제, 스타틴), 경동맥 내막 절제술, 경동맥 스텐트 삽입술 |
| 경동맥 박리 | 외상, 섬유근 형성 이상, 혈관염 등 | 목 통증, 두통, Horner 증후군, 뇌졸중 증상 등 | 경동맥 초음파 검사, CT 혈관 조영술, MRI 혈관 조영술 등 | 항응고제 치료, 혈전 용해술, 수술적 치료 |
| 경동맥 동맥류 | 동맥경화, 감염, 유전적 요인 등 | 대부분 무증상, 드물게 목에 혹이 만져지거나 쉰 목소리, 삼킴 곤란 등 | 경동맥 초음파 검사, CT 혈관 조영술, MRI 혈관 조영술 등 | 수술적 치료 (동맥류 절제술, 스텐트-그라프트 삽입술) |






경동맥 초음파 검사, 누가 받아야 할까요?
경동맥 초음파 검사는 다음과 같은 분들에게 권장됩니다.
- 뇌졸중, 심근경색, 말초혈관 질환 등의 가족력이 있는 경우
- 고혈압, 고지혈증, 당뇨병, 흡연 등의 위험 인자를 가진 경우
- 일과성 허혈 발작 (TIA) 또는 뇌졸중을 경험한 경우
- 목 부위에서 혈관 잡음이 들리는 경우
- 50세 이상으로 건강 검진을 통해 혈관 건강을 확인하고 싶은 경우
특히, 뇌졸중은 '시간과의 싸움'이라고 할 만큼 빠른 대처가 중요합니다. 따라서 위와 같은 위험 요인을 가진 분들은 정기적인 경동맥 초음파 검사를 통해 뇌졸중을 예방하는 것이 중요합니다.
경동맥 초음파 검사, 어떻게 준비해야 할까요?
경동맥 초음파 검사는 특별한 준비 없이 간편하게 받을 수 있습니다.
- 검사 전 금식은 필요하지 않습니다.
- 목걸이, 스카프 등 목 부위를 가리는 액세서리는 제거합니다.
- 편안한 복장으로 방문합니다.
- 과거 병력이나 복용 중인 약물이 있다면 의료진에게 알립니다.
검사 과정은 앞서 말씀드린 것처럼 통증이나 불편함이 거의 없으며, 검사 시간도 짧기 때문에 부담 없이 받을 수 있습니다.






경동맥 건강, 생활 습관 개선으로 지키세요
경동맥 초음파 검사를 통해 경동맥 질환을 조기에 발견하는 것도 중요하지만, 평소 생활 습관 개선을 통해 경동맥 건강을 유지하는 것이 더욱 중요합니다.
- 건강한 식습관: 과도한 염분, 설탕, 포화지방 섭취를 줄이고, 신선한 채소, 과일, 통곡물, 생선 등을 충분히 섭취합니다.
- 규칙적인 운동: 꾸준한 유산소 운동 (걷기, 조깅, 수영 등)과 근력 운동을 통해 혈액 순환을 개선하고 혈관을 튼튼하게 만듭니다.
- 금연: 흡연은 혈관을 손상시키고 동맥경화를 촉진하는 주범입니다. 금연은 경동맥 건강을 지키는 가장 중요한 방법 중 하나입니다.
- 적절한 체중 유지: 과체중이나 비만은 고혈압, 고지혈증, 당뇨병 등의 위험을 높여 경동맥 질환의 발병 위험을 증가시킵니다.
- 스트레스 관리: 스트레스는 혈압을 상승시키고 혈관을 수축시켜 경동맥 건강에 악영향을 미칩니다. 명상, 요가, 취미 활동 등을 통해 스트레스를 효과적으로 관리합니다.
- 정기적인 건강 검진: 경동맥 초음파 검사를 포함한 정기적인 건강 검진을 통해 혈관 건강 상태를 확인하고, 필요한 경우 적절한 치료를 받습니다.






제가 평소 실천하는 경동맥 건강 관리법은 다음과 같습니다.
- 아침 식사로 통곡물 시리얼과 과일을 챙겨 먹습니다. 섬유질이 풍부한 통곡물은 혈중 콜레스테롤 수치를 낮추는 데 도움을 주고, 과일은 항산화 성분이 풍부하여 혈관 건강에 좋습니다.
- 점심시간에 30분 정도 걷기 운동을 합니다. 햇볕을 쬐면서 걷기 운동을 하면 비타민 D 생성에도 도움이 되고, 스트레스 해소에도 효과적입니다.
- 저녁에는 기름진 음식 대신 닭가슴살 샐러드나 두부 요리를 즐겨 먹습니다. 단백질은 근육을 유지하고 포만감을 높여 체중 관리에 도움을 줍니다.
- 잠자리에 들기 전 명상 음악을 들으며 스트레스를 해소합니다. 편안한 음악은 심신을 안정시키고 혈압을 낮추는 데 도움이 됩니다.
경동맥 초음파 검사 비용 및 병원 선택 팁
경동맥 초음파 검사 비용은 병원마다 차이가 있을 수 있지만, 대략 5만원에서 10만원 정도입니다. 건강보험 적용 여부는 검사 목적에 따라 달라질 수 있으므로, 사전에 병원에 문의하는 것이 좋습니다.
병원을 선택할 때는 다음과 같은 사항을 고려하는 것이 좋습니다.
- 검사 장비의 성능: 최신 장비를 갖춘 병원일수록 정확한 검사 결과를 얻을 수 있습니다.
- 의료진의 숙련도: 경험이 풍부한 의료진에게 검사를 받는 것이 중요합니다.
- 검사 결과에 대한 자세한 설명: 검사 결과를 환자가 이해하기 쉽게 설명해주는 병원을 선택합니다.
- 접근성: 집이나 직장에서 가까운 병원을 선택하는 것이 편리합니다.
각 병원의 홈페이지나 후기를 참고하여 자신에게 맞는 병원을 선택하는 것이 좋습니다.
경동맥 초음파 검사로 뇌졸중 위험을 낮추세요: 맺음말
오늘은 경동맥 초음파 검사로 알수있는병에 대해 자세히 알아보았습니다. 경동맥 초음파 검사는 뇌졸중 예방을 위한 중요한 첫걸음입니다. 정기적인 경동맥 초음파 검사와 건강한 생활 습관을 통해 뇌졸중 위험을 낮추고, 건강하고 행복한 삶을 누리시길 바랍니다. 이 글이 여러분의 건강 관리에 조금이나마 도움이 되었기를 바라며, 다음에도 유익한 정보로 다시 찾아뵙겠습니다. 감사합니다.